Excision Endometriosis
Intraoperative photos
Patchy white areas of endometriosis of the left pelvic sidewall right above the left ureter.
This photo shows all the endometriosis removed or excised. The left ureter (tube that connects the kidney with the bladder and carries urine) is shown fully dissected.
This is an enlarged 7 cm ovary with endometriosis. (endometrioma).
The ovary has been opened and the endometriotic cyst is being removed. Adequate endoscopic technique is important to preserve as much ovarian tissue as possible and to reduce the chance of recurrence as well.
The endometriotic cyst was removed completely and the ovary has been reconstructed.
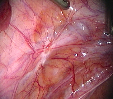
Extensive endometriosis of the anterior aspect of the uterus, and the lining covering the bladder.
The endometriosis has been excised completely using video laparoscopy.